モニター写真集

モニター写真集

サラ美容外科で行った施術のビフォーアフター写真集をご紹介します

二重切開+目頭切開


24才
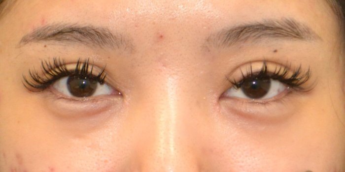
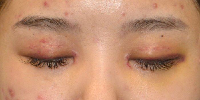
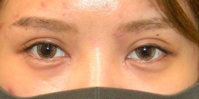
術前


術直後


術直後
目頭に24時間テープが付きます。


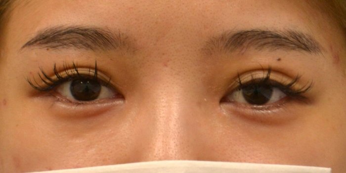
術直後


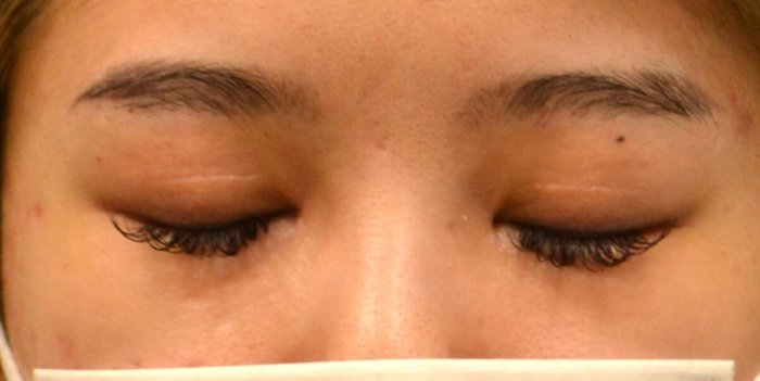
術後2日目


術後2日目


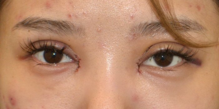
術後5日目
抜糸をします。


術後5日目


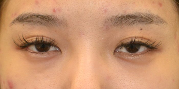
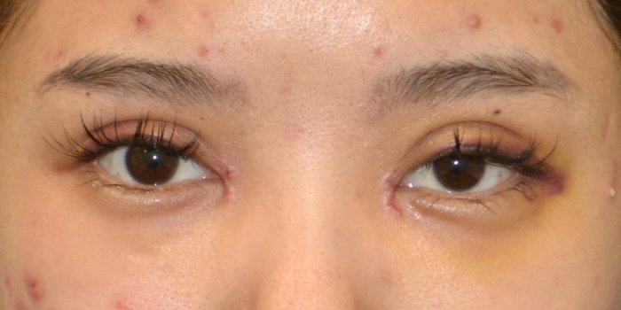
術後13日目


術後13日目


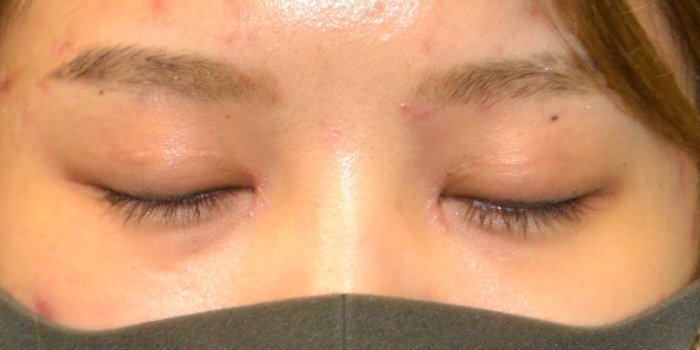
術後1ヶ月


術後1ヶ月


術後3ヶ月


術後5か月


術後5か月


施術の副作用・リスク:腫れ、皮下出血、発赤、掻痒感、色素沈着、悪心、痛み、頭痛、発熱、痺れ、麻痺、知覚鈍麻、知覚過敏、異常知覚、異物感、違和感、左右差、感染、血腫、組織壊死、創部離開、アナフィラキシーショック、呼吸困難、二重幅の経年変化、二重の消失 、傷跡の盛り上がり・凹み・発赤、戻り、希望との差異、眉の形・位置の変化左右差


手術費用
二重切開法¥220,000
目頭切開¥165,000


二重切開法目頭切開

カウンセリング予約 フォームからご予約できます

最近のエントリー